Title of lecture:
Similarity between Natural Tooth Morphology and the Three Basic Morphology Necessary for Aesthetic Restorations
Lenght of the lecture: 75 min
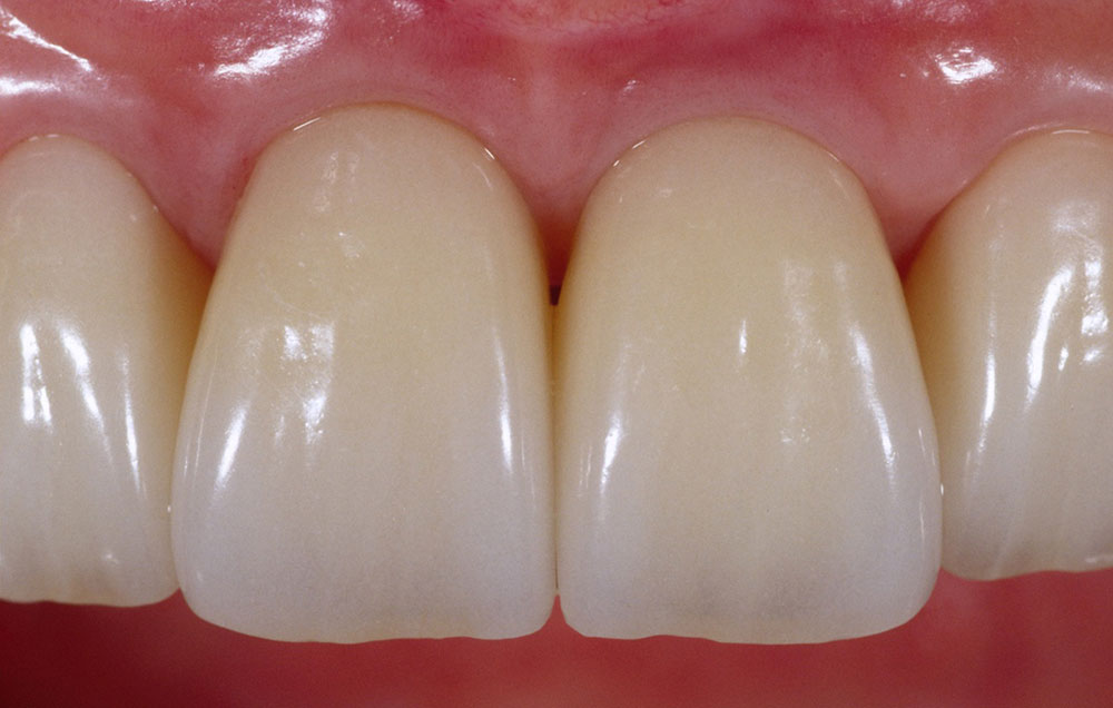
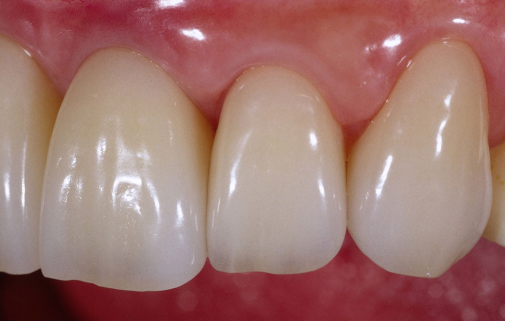
I believe that tooth morphology is the most important factor that leads to the completion of aesthetic prosthetics. Restoration of the oral cavity, including a healthy and beautiful facial appearance, depends on the positioning of the tooth arrangement and by reproducing the morphology and surface characteristics of each natural tooth.
The above are the factors that govern superficially visible beauty, but restoring and maintaining the health of the periodontal tissue is also essential for aesthetic prosthetics. We believe that these also aim to reproduce the morphology of natural teeth. Therefore, the natural tooth morphology has all the requirements for a prosthesis.
In this lecture, we will observe the morphology of natural teeth from various angles and consider the morphology of prosthetic reatorations that create a beautiful facial appearance and healthy periodontal tissue. Furthermore, it will be explained that natural teeth can be classified into three basic forms according to certain rules, and that these forms (round, acute and , square) have similarities.





