Title of lecture:
Navigated Implantology. Digital environment as an example of synergy for the team dentist-technician
Lenght of the lecture: 75 min
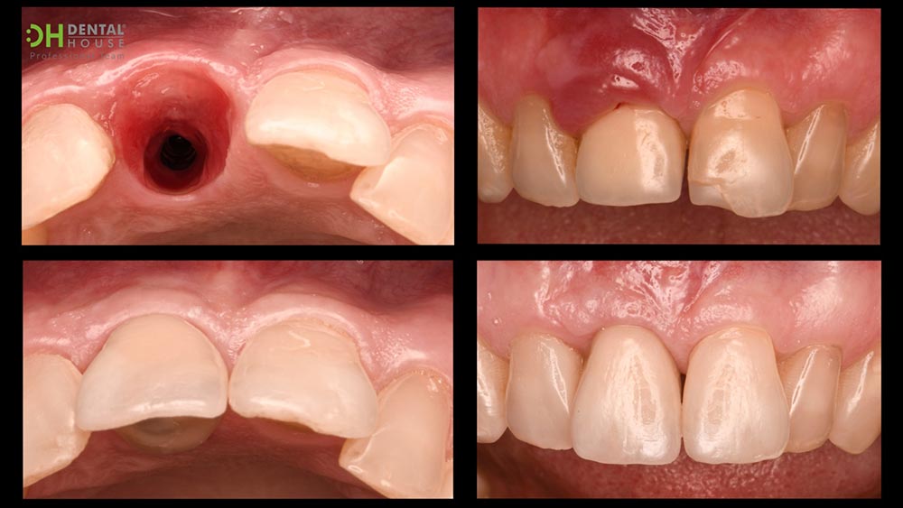
Understanding the workflow in the digital environment between the office and the dental laboratory, using the example of complete implant treatment protocols.
From treatment planning, through a fully navigated implant procedure, to the final prosthetic work - aesthetic and functional.
From single implant restorations to full-arch restorations.






