Title of the lecture:
Minimally Required Preparation
Criteria for proper tooth preparation respecting both the patient and dental technician
Lenght of the lecture: 75 min
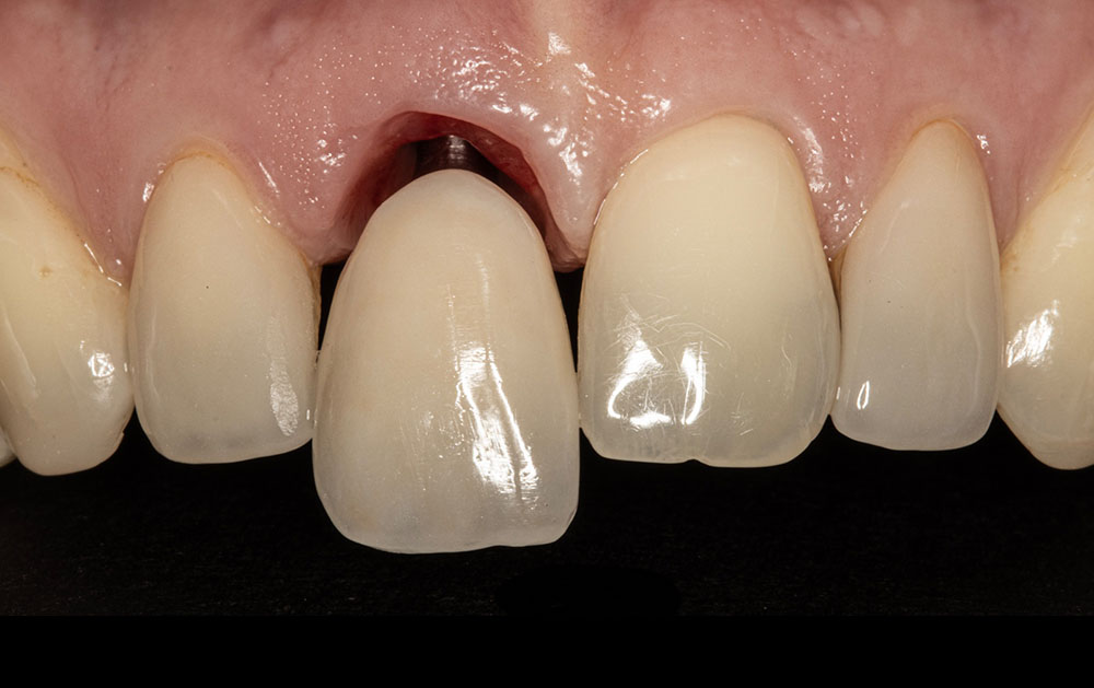
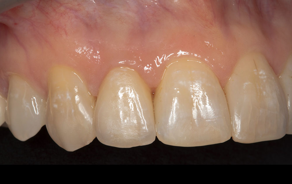
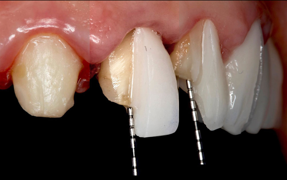
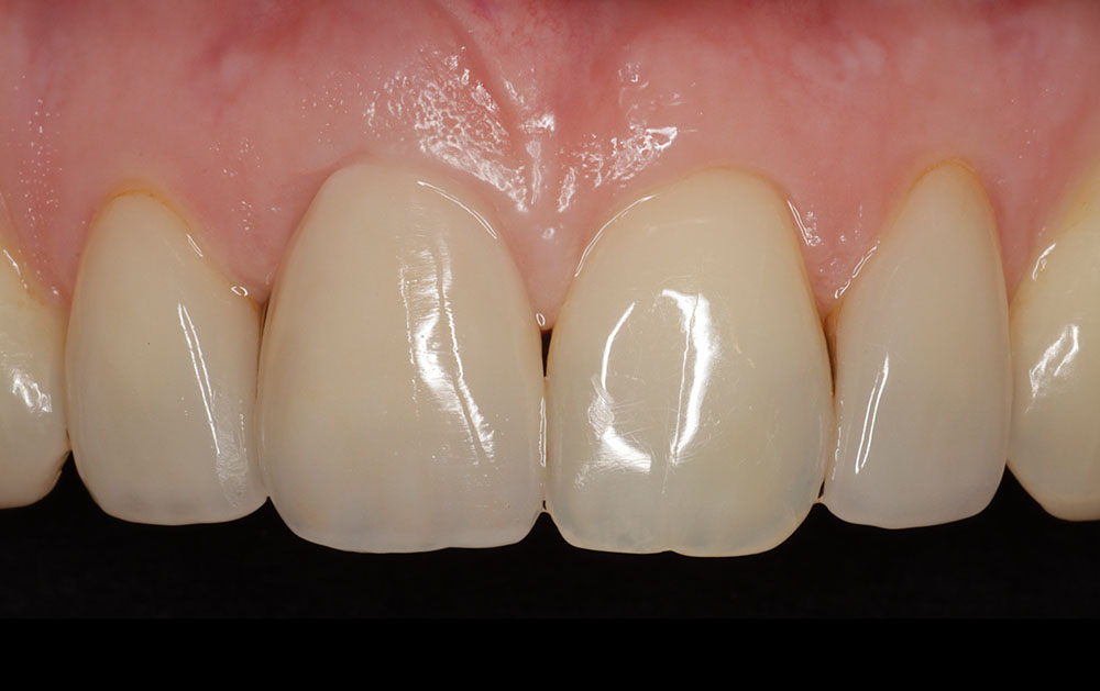
The preparation masterfully performed by the dentist is the most important process in patient's prosthetic reconstruction. The prepped tooth must be carried out in accordance with the "CRITERIA FOR CORRECT PREPARATION", i.e.: saving tooth tissue and taking into account the limitations of the material used - followed by the instruction of the dental technician.
A commonly used term: "minimally invasive preparation" to refer to just a component of the "MINIMALLY REQUIRED PREPARATIONS" used by me for many years, which takes into account: damage, type of prosthetic work and material from which the work is to be made with respect for the patient and the technique.
In times of increasing digitalization in dentistry, tooth preparation is still a 100 percent manual procedure.
Currently, it remains important to precisely combine this manual element with the digital laboratory planning and execution protocol.
Attention should also be paid to the hazards and techniques involved when re-treatment must be provided at the client's request after unsatisfied restoration was performed. Let's answer to the question: if "PROSTHETIC RE-TREATMENT" is "DENTAL ARCHEOLOGY"?.







