Title of the lecture:
Aesthetic aspects of dentures
Lenght of the lecture: 75 min
My love for complete dentures has continued unbroken for more than 30 years now. Digital production is constantly being advanced in this area of dental technology, but the digitalized production of prostheses is still at an aesthetically unsatisfactory level for me.
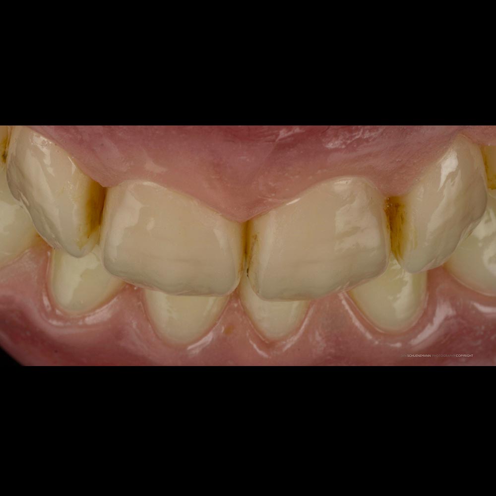
Prostheses can also be “invisible”, which requires different techniques and materials. I was able to present my thoughts on this topic at the ADT back in 2007.
17 years later - an update! What has changed over the years? In addition to different manufactured teeth, denture plastics have also developed further.
All work steps are shown step by step using case studies in order to make prostheses appear invisible in the patient's mouth, because highly aesthetic prostheses can also be the introduction to an implant-supported restoration. This requires, above all, the trust of the patients, which many have lost due to inadequate dentures have.
Let yourself be inspired, motivated or simply inspired, even a toothless patient deserves our commitment.




