Title of the lecture:
One Shot Concept
Lenght of the lecture: 60 min
Universal tool for Shade Communication.
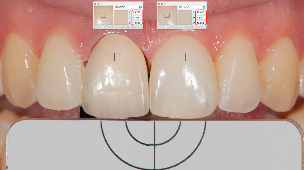
In the everyday work of dental technicians and dentists, we encounter many obstacles and problems. One of them is the transfer of information about tooth color from the office to the prosthetic laboratory. I had problems with this for many years, repeating the same work many times, not knowing what the end result would be. My “One Shot Concept” solves this problem. I will share my theoretical and practical knowledge based on clinical cases from my daily work. The conventional method of transmitting color using a shade guide causes significant distortions in the information provided.
Photography with the grey card and the use of appropriate software minimise errors in the final prosthetic work. This method allows you to get the job done right the first time without having to correct or repeat it.
By implementing this method, we save the dental team, and especially the patient, money and time.
Based on my statistics since 2019, supported by photographic documentation, the effectiveness of this method is over 95%.



