Title of the lecture
Bridging old and new
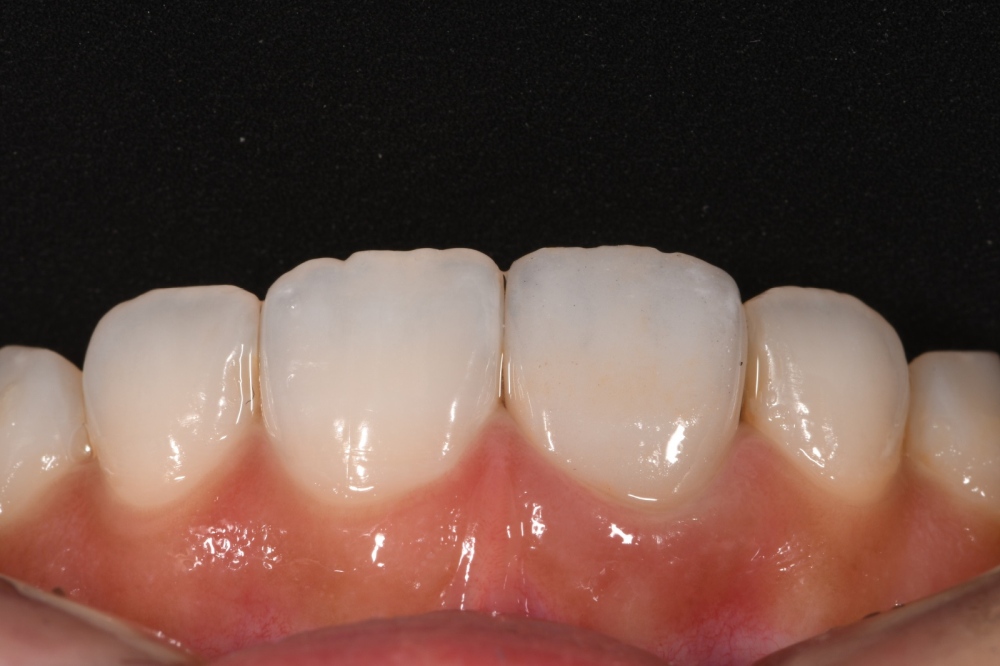
- When I am asked to perform prosthetic restorations in the anterior region -
Lenght of the lecture: 75 min
Learning from the past and making new discoveries is something we are rarely conscious of in our daily work. The techniques passed down by many of our predecessors and the materials developed through them are believed to have great significance even in the modern age of digital technology.
I have been involved in dental technology for 40 years, and during that time I have mainly worked with porcelain. In particular, I have been producing laminate veneers since the technique was first introduced to Japan. Compared to restorations using PFM crowns, which were popular at the time, it is necessary to take into account the effect of the abutment tooth color, and the final color cannot be confirmed until it is installed. In other words, it is a technique that relies on experience, intuition, and imagination, but that also makes it more interesting.
Time has passed and today, PFZ ( Porcelain fused zircon ) and FCZ ( full-couture )have become more mainstream than PFM, and once again we have to consider the color tone of the abutment tooth. Of course, various manufactures are developing materials that control the transmission, reflection, and blocking of light.
This time, I would like to explain what to keep in mind and what techniques to apply when I am asked to make crowns or laminate veneers..


