Title of the lecture:
Dental architecture©
Lenght of the lecture: 75 min
Philosophy of daily praxis.
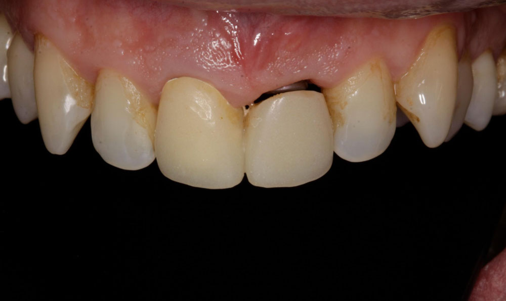
I believe that all paths must lead to a goal. The goal is an idea and the path its manifestation. Orthopaedic dentistry is a difficult discipline because several of us are involved in the journey towards this goal. The main hero of this story is always the patient. They come to us with their own goal and expectations. Dentists and dental technicians are the patient's professional assistants because they help them bring their idea to life. This is why mutual understanding, communication and coordination is key. In order to be effective, every one of us has to have a good working knowledge of our field.
I will use this presentation to tell you about how my teams and I deal with communication problems that emerge between the dentist, the dental technician and the patient. This is the point from which the Dental Architecture© protocol came about. It is also the point from which we developed our very own software product, Trinyte©, which significantly facilitates information sharing and effective planning in the process of making prostheses based on the work schedules of the dentist, dental technician and patient.
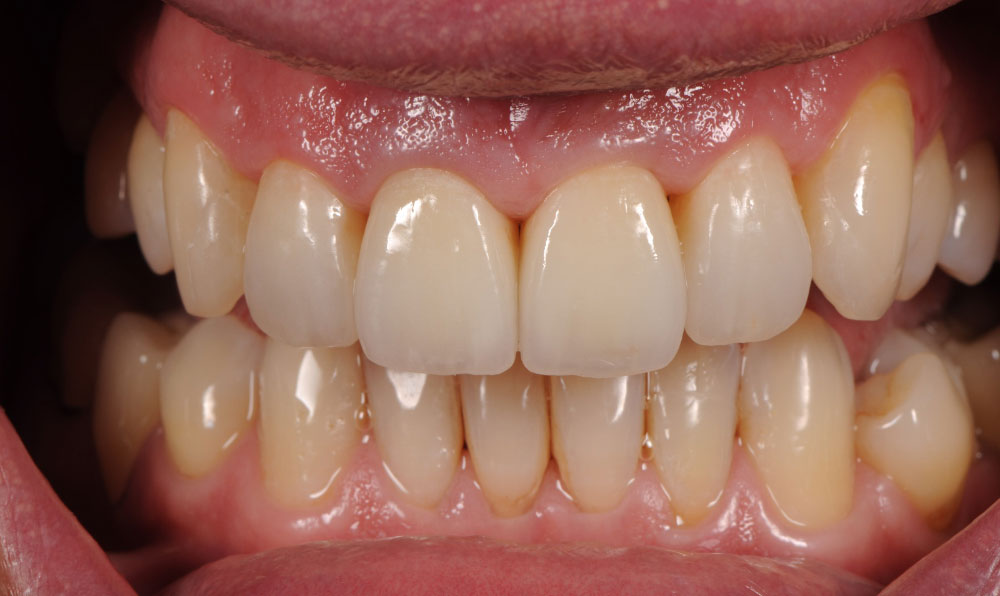
The second part of the presentation will revolve around the prosthetic methods I use with my team. I am an advocate of minimally invasive prosthodontics and I make many glass ceramic laminates. I will demonstrate the possibilities of this method. However, it is a method that only works for some patients. Creating implant-based prostheses is also a great part of my daily routine.
I place great importance on the functionality of the prosthesis. Being a follower of the (Michael) H. Polz school of thought, I also place great importance on correct occlusal restoration. One of the causes of craniomandibular disorders is the inadequate restoration of occlusion.







